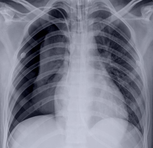
O Pneumotórax consiste em ar na cavidade pleural, acarretando colapso pulmonar parcial ou completo. Na clínica, os sintomas são falta de ar e dor quando respira.
Os principais sinais de pneumotórax na radiografia são:
1. Hipertransparência sem vasos e brônquios;
2. Colabamento do pulmão homolateral;
3. Delimitação da pleura visceral;
4. Mais bem visto na radiografia em expiração;
5. Desvio do mediastino contra lateral e herniação pulmonar, indicando pneumotórax hipertensivo.
