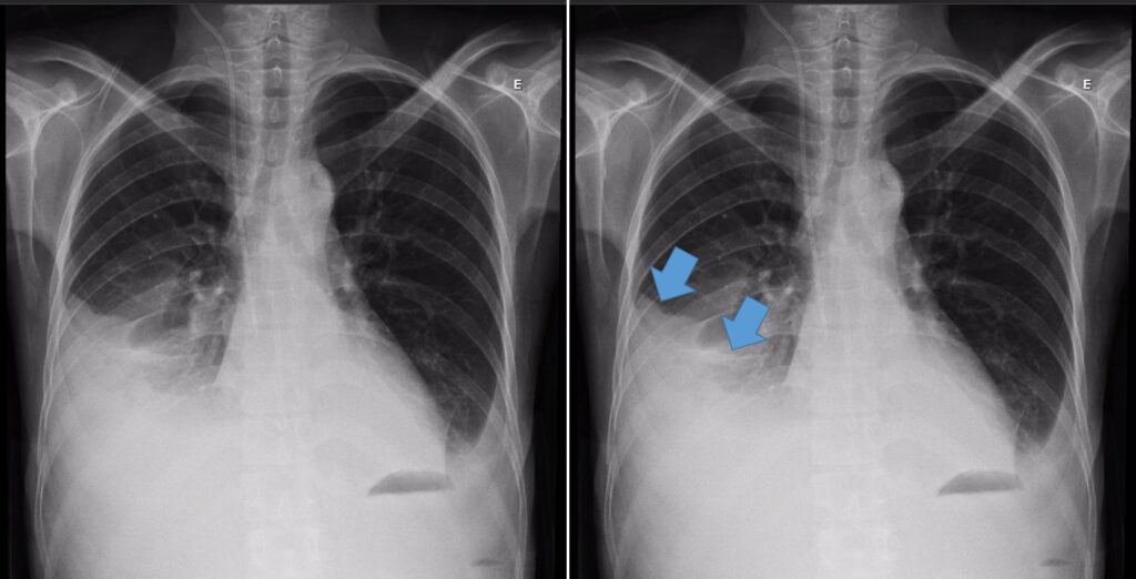
Derrame pleural é o acúmulo anormal de líquido no espaço pleural. Os principais sinais na radiografia são:
1. Imagem hipotransparente formando uma parábola;
2. Velamento do seio costofrênico;
3. Apagamento do contorno do diafragma e do coração;
4. Desvio do mediastino para o lado oposto quando volumoso;
Em pequenos derrames pleurais, é interessante pedir radiografia em decúbito lateral com raios horizontais. O líquido vai escorrer pelo espaço pleural.
